2023年国家卫健委临检中心细胞形态室间质评-第3次
更新时间:2023/11/12 13:45:06 浏览次数:5033
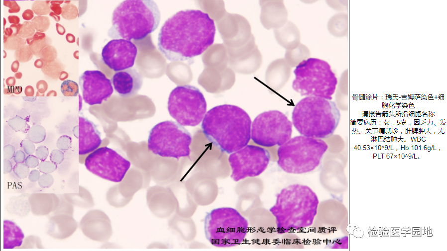
原幼淋巴细胞 (是)
Auer小体(是)
反应性淋巴细胞(不典型淋巴细胞-怀疑反应性)(是)
早幼粒细胞(否)
原红细胞(是)
晚幼红细胞(是)
中幼红细胞(是)
泪滴型红细胞(是)
巨核细胞(是)
血小板聚集(是)
说明:本图片来自国家卫健委临检中心网站

体外诊断头条APP

CAIVD官方微信

CAIVD官方视频号

CACLP官方微信

CACLP官方视频号
全国卫生产业企业管理协会实验医学分会
( 京ICP备15010734号-10 )