
古语有云,药毒不分家,砒霜更是以毒入药的重要代表,但其作用机理始终不为人知,进而导致人们对砒霜入药战战兢兢。近日,中国福建医科大学的卢坤平教授等人在著名学术期刊《Nature Communications》发表的一项研究结果彻底打破了这方面研究的空白,他们发现了砒霜,即三氧化二砷(ATO),跟全反式维甲酸(ATRA)联合使用治疗多种癌症的机制!以后“砒霜抗癌”再也不是谣传了!

其实“砒霜治病”由来已久,中医古方多有记载砒霜对昏睡病、肺结核的良好效果,有许多科学家进而展望利用砒霜彻底消灭肿瘤。然而,这一切似乎仅停留在民间疗法、猜想、临床统计的层面,缺乏准确的机理描述使砒霜的作用众说纷纭,相关研究也只能畏首畏尾。
曾经,Beth Israel Deaconess医学中心(BIDMC)癌症中心的Pier Paolo Pandolfi医学博士团队证实ATO与ATRA联用对急性早幼粒细胞白血病(APL)有一定效果,可将APL的治疗从高度致命转变为高度可治愈的状态,但对其作用机制不明所以。
现在,同属BIDMC癌症研究所的卢坤平教授团队发现ATO与ATRA是通过摧毁Pin1蛋白来抑制癌症驱动途径,也就是说,只要肿瘤细胞中存在Pin1蛋白,砒霜就是它的克星!
在谈ATO对肿瘤细胞的杀伤作用前,得先说说肿瘤发展过程中Pin1酶扮演了什么角色。Pin1酶是肽基脯氨酰顺反异构酶,可改变磷酸化蛋白质的功能,从而激活超过40种癌症驱动蛋白,是癌症信号传导网络的主要调节因子,同时还能使超过20种肿瘤抑制蛋白失活。
Pin1酶在大多数人类癌症中过度活化,在癌症干细胞中特别活跃,是驱动肿瘤起始、进展和转移进程的限速酶。
最重要的是,Pin1的表达与细胞分裂能力成正比,也就是说,对癌细胞这种分裂旺盛的细胞来说,Pin1总是过表达,因此,针对Pin1的药物,包括ATO与ATRA联用,总能准确摧毁肿瘤细胞,同时将对高分化的组织细胞的副作用降至最低!

ATO结合Pin1活性位点中的特定残基
那么,ATO与ATRA究竟对Pin1做了什么呢?ATO进入肿瘤细胞后,可强力非共价结合Pin1活性位点,灭活多种癌蛋白,激活许多肿瘤抑制因子,抑制癌细胞生长,但同时会引起细胞表面通道蛋白降解,引起ATO抗性。另一方面,ATRA也可以直接抑制和降解Pin1,但效果一般。
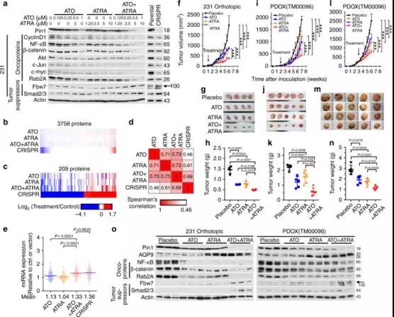
然而其能激活水通道蛋白9(AQP9),增加细胞对ATO的摄取,解除了细胞对ATO的抗性,二者的协同作用抑制了Pin1的功能和自我更新,使抗癌效果有效扩增,阻断了多种致癌途径。简单来说,ATRA会为ATO打开并稳定进入肿瘤细胞的通道,而ATO就借此摧毁Pin1,进而杀灭癌细胞。

ATRA与ATO联合诱导Pin1降解并增加AQP9表达

ATRA与ATO联合诱导Pin1降解并消除TICs/ CSCs
不仅如此,ATO与ATRA联用还解决了一个困扰个体靶向治疗发展的大问题—耐药性。我们知道,目前的疗法依旧无法有效地靶向肿瘤起始细胞和癌症干细胞(TIC / CSC),而TIC / CSC是造成肿瘤起始、生长、转移和耐药性的原因。
在TIC / CSC中,Pin1是一种关键的驱动因子,也是癌症中独特的药物靶点。研究人员发现,Pin1能够高度富集乳腺TICs / CSCs,促进其自我更新和肿瘤的发生,而ATO与ATRA联用靶向Pin1就意味着是同时阻断多种癌症驱动途径并消除TICs/ CSCs,从而从根源上阻断肿瘤耐药性。
这项研究在细胞层面解释了ATO与ATRA对肿瘤的作用机制,为多种癌症的治疗提供了一种极具前景的低毒性选择,也为Pin1抑制剂的研究提供了新方向。
同时,我们也明白,药毒本一家的中医思想并非空穴来风,毒药的准确应用,对疾病的治疗同样重要,这也是新药研究方向的进一步开拓,我们期待有更多的新发现为肿瘤患者带来新希望。
参考文献:
Arsenic targets Pin1 and cooperates with retinoic acid to inhibit cancer-driving pathways and tumor-initiating cells
Arsenic in combination with an existing drug could combat cancer
邮政编码:200052 电话:021-63800152 传真:021-63800151 京ICP备15010734号-10 技术:网至普网站建设